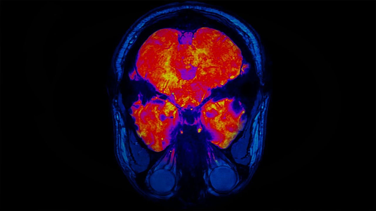
How aging degrades neural functioning in the brain over time
Aging affects the brain perhaps more than any other organ in the body. Throughout life, the brain experiences radical shifts in the number of neurons, synaptic connections between neurons, and hormone levels that regulate our mood and processing.






